• contacto@centroclinicodelamano.com
  • Mon - Sat 8.00 - 18.00

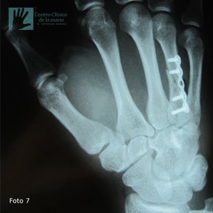
Fractura del Metacarpiano


Envíanos un correo

contacto@centroclinicodelamano.com

Visitanos

9a calle 4-52 zona 10 , edificio Integra Medical Center I , nivel 4 oficina 402 , ciudad de Guatemala